Release Notes

Product Name:   eVue and eFit
Version Number: 5.21
Release Date:   June, 2024

Table of Contents

  1. Introduction
  2. New Features
  3. Improvements
  4. Bug Fixes
  5. Deprecations
  6. Known Issues
  7. Upcoming Features
  8. Patch Release 5.21.1

Introduction

Welcome to the June, 2024 release of Efferent eVue and eFit. In this update, we've focused on a couple of new features and enhancing the user experience to ensure the best performance for our users.

New Features

Pelvic tool

The Pelvic tool is an eFit tool capable of calculating the inclination of the hip from the lateral view. To get the inclination angle, the user has to set the landmarks of the Anterior Pelvic Plane and the Pelvic Tilt as seen in the images, they can be set manually or with the help an integrated AI algorithm.

Manual Process drawing points

Using the AI Algorithm

Support for DICOM graphic annotations (trial)

This enhancement supports the uploading of DICOM files (modality=PR) containing previous annotations. These images can now be displayed in eVue with the annotations from the DICOM.

This feature is still in trial phase and may not show all kind of annotations.

Improvements

Column resizing

It is now possible to edit the width of the columns in the General Worklist according to the user's preferences, improving the experience of reading the complete information in the columns.

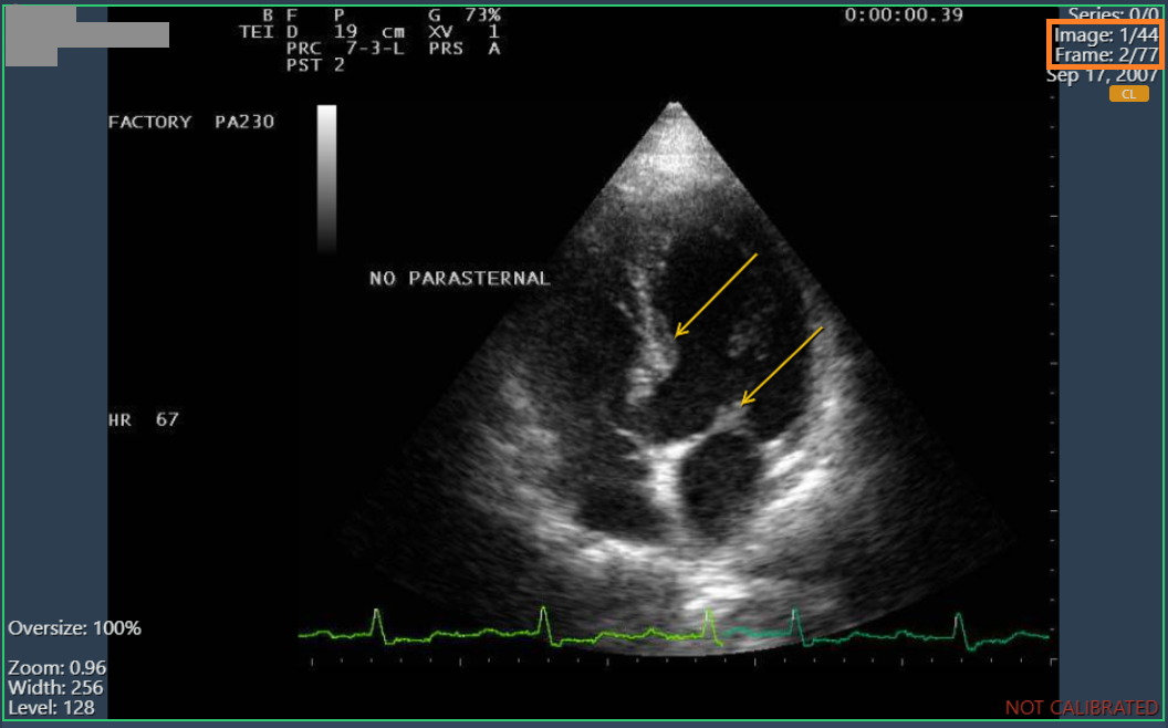
Annotations on multiframe images

Annotations on multi-frame images were not enabled independently, so they were applied to all frames of an image. Now annotations can be made and displayed on each frame as expected.

Annotations in frame 2/77

Annotations in frame 3/77

Soft deletion of several selected studies

The action of deleting more than one selected study at a time has been enabled. This applies to delete studies from the worklist, removing them to the recycle bin.

Quick Print preview

An image preview has been implemented in the Quick Print options when selecting "current image". Previously this layout was limited to show a gray square instead to represent the scale of the image on the print sheet.

Before

After

Autosave for AI in Hip Implant tool

This improvement enables automatic saving of the annotations made with the AI in the hip implant tool, avoiding the loss of changes during the process.

Bug Fixes

Deprecations

None

Known Issues

Upcoming Features

None

Patch Release 5.21.1

A patch was released on June 28, 2024, with the following changes.

Improvements

Bug Fixes


Thank you for being a valued user of Efferent. We hope these updates enhance your experience. For any questions or feedback, please contact our support team at support@efferenthealth.com .